Le docteur Ali Ouazzani est l’un des spécialistes les plus réputés en orthodontie linguale. Trouvez réponse à toutes les questions concernant ce traitement. ...
Lire Plus-
-
Les personnes qui ont recours au blanchiment dentaire se font de moins en moins rares. Les critères de beauté semblent avoir consacré un sourire éclatant et des dents parfaitement blanches. Les méthodes ne manquent pas pour y parvenir. En effet, il est...
Lire Plus -
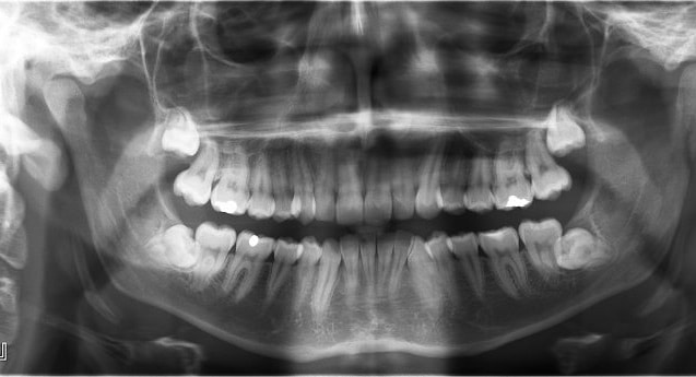
L’hyperdontie, également appelée polydontie est une anomalie relative au nombre de dents. Dans les cas de dentition normale, un adulte possède 32 dents. Les personnes atteintes d’hyperdontie peuvent en avoir bien davantage. Malheureuseme...
Lire Plus -
Le chevauchement dentaire est l’une des causes les plus fréquentes de l’irrégularité du sourire. Cette malformation, qui peut être héréditaire, ou le résultat de mauvaises habitudes d’enfance, a des complications nombreus...
Lire Plus -
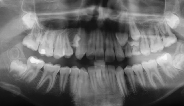
Présentes en germe dès l’âge de 12 ans, les dents de sagesse se constituent durant l’adolescence. On les appelle les troisièmes molaires. Elles se situent tout au fond de la bouche et sont les dernières à apparaître. Les dents d...
Lire Plus -
Parmi toutes les maladies qu’on peut contracter, le kyste est l’une des moins agréables. Cette tumeur a diverses causes, et ses symptômes se manifestent de plusieurs manières. Les négliger est une grave erreur, car cette pathologie se soigne diffic...
Lire Plus
